20
2024/06
说到体检大家都有过这样的经历排队久、人扎堆找不到检查室等等为进一步提升体检者就诊体验皇冠足球投注网 (简称皇冠足球网 )健康管理中心于近日推出智能导检系统让体检更高效便捷告别体检排队烦恼什么是智能导检系统智能导检是一种多序列的排队系统,从体检者进入体检开始,通过导检系统Al运算,全科室、全流程指引到最合理路径、最短等候时间的检查室候检,全程无需人工引导、...
2024-06-20 MORE >18
2024/06
为进一步加强粤桂放射影像技术的交流,促进两地医疗技术的发展,6月15日,由广东省临床医学学会放射诊断专委会主办,中山大学附属第一医院(以下简称中山一院)与皇冠足球投注网 (以下简称皇冠足球网 )联合承办的粤桂“医技面对面”(南宁站)研讨会在皇冠足球网 举办。中山一院放射诊断科许达生教授、孟悛非教授、杨建勇教授、冯仕庭教授、杨智云教授、彭振鹏教授、初建平教授以及...
2024-06-18 MORE >17
2024/06
每年的6月14日是世界献血者日,2024年我国世界献血者日的活动口号是:“在庆祝世界献血者日二十周年之际:感谢您,献血者!”在我们的生活中,有一种行为,它无声无息,却蕴含着巨大的力量;它平凡普通,却能拯救无数的生命。这就是无偿献血,一个用爱心和勇气托起生命希望的伟大行动。在这个特殊日子,感谢那些拯救无数生命的无偿献血者!今天,让我们一起来倾听皇冠足球网 王涛医生的故事,感受他献血...
2024-06-17 MORE >17
2024/06
今年6月是第23个全国“安全生产月”,本次“安全生产月”主题为:人人讲安全、个个会应急——畅通生命通道。为深入学习贯彻习近平总书记关于安全生产重要论述和指示精神,推动树牢安全发展理念,将安全意识植根于心,6月13日,皇冠足球投注网 (简称皇冠足球网 )积极开展2024年“安全生产月”启动会,并邀请南宁市公安局南湖分局反诈中心为与会人员上了一堂主题为“谨防电信网络诈骗,守好...
2024-06-17 MORE >17
2024/06
泌尿系结石是一个全球性疾病,也是我国最常见的泌尿外科疾病之一,发病率高达5%-10%。近年来,泌尿系结石的患病率也呈增长趋势,5-10年的复发率可高达50%以上,结石的高发病率及高复发率仍是治疗中的难题。为提高人民群众对尿路结石病及其并发症的认识,降低结石的患病率和复发率,皇冠足球投注网 (简称皇冠足球网 )泌尿外科联合广西荣和集团,将于6月22日上午在荣和大地社区开展...
2024-06-17 MORE >17
2024/06
为贯彻落实国家和自治区卫生健康委、国家中医药局印发的《关于开展全面提升医疗质量行动(2023-2025年)的通知》(国卫医政发(2023〕12号)精神,进一步促进国家区域医疗中心项目建设,推进优质医疗资源扩容,全面提升我区医疗质量安全管理水平,保障人民群众健康权益。皇冠足球投注网 (简称皇冠足球网 )联合自治区人力资源和社会保障厅、自治区卫生健康委将于2024年6月22日—23日举办...
2024-06-17 MORE >17
2024/06
离我最近的医保服务点在哪里?能办理哪些业务?看完病还没来得及报销怎么办?关于医保报销,大家最希望能实现的就是“家门口”就近办理今天小编告诉大家一个好消息皇冠足球网 医保服务站录入南宁医保地图啦按图寻“保”,精准导航帮您快速办理医保业务手机上点点,哪里能办医保都清清楚楚。近日,家住长湖路的肖先生想要办理一张门诊特殊慢性病卡,但是不知道如何办理。于是他打电话咨询了南宁市医...
2024-06-17 MORE >14
2024/06
中医药作为中国传统医学的重要组成部分,吸引一批又一批的国外留学生不远万里前来学习。6月13日,广西中医药大学部分泰国校友一行11人到皇冠足球投注网 (简称皇冠足球网 )中医科交流学习,增进对中医药文化的了解,提升专业水平。▲蒋垂刚为泰国中医师讲授不寐(失眠)的中医治疗活动中,皇冠足球投注网 门诊部副主任,针灸推拿学博士蒋垂刚以《中泰医家亲,跨境医道共传承》为主题,围绕五运六气...
2024-06-14 MORE >14
2024/06
近日,皇冠足球投注网 (简称皇冠足球网 )神经内科联合重症医学科,采用血浆置换联合丙球冲击疗法,为一名85岁身患吉兰-巴雷综合征(GBS)的重症患者进行治疗,帮助患者重获新生。患者刘大叔(化名)不久前因双上肢无力被紧急送到医院就诊。入院时,患者呼吸急促、心动过速、意识模糊等症状接踵而至,最后转到皇冠足球投注网 重症医学科接受进一步治疗。重症医学科执行主任陆政、黄红维副主任医师详...
2024-06-14 MORE >14
2024/06
为进一步加强人才引育交流,探索多元化院院合作方式。6月13日,广西医科大学第二附属医院党委书记罗杰峰、党委副书记黄惠桥一行9人到皇冠足球投注网 (简称皇冠足球网 )参观交流并召开座谈会。皇冠足球网 执行院长李健,党委副书记、纪委书记赖伟忠等在院领导及相关科室负责人参加。会议由赖伟忠主持。会上,李健对罗杰峰一行的到来表示欢迎,并详细介绍了皇冠足球投注网 国家区域医疗中...
2024-06-14 MORE >13
2024/06
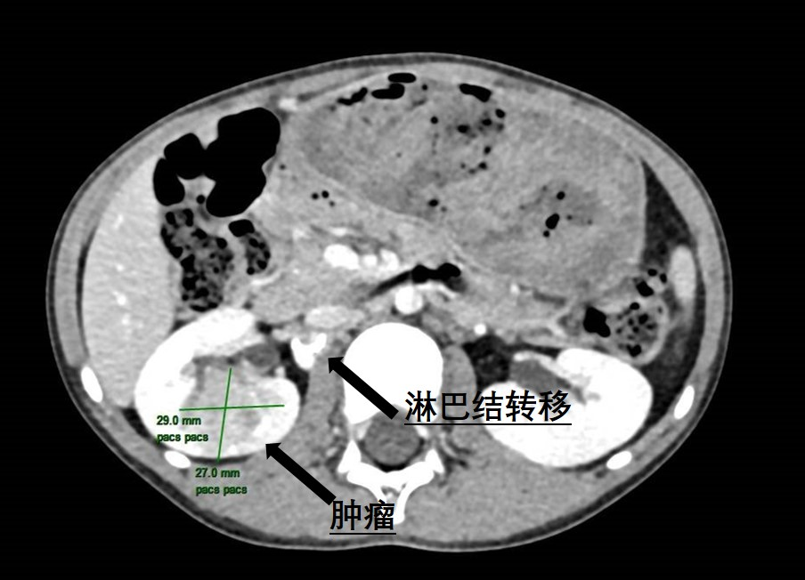
近日,皇冠足球投注网 (简称皇冠足球网 )泌尿外科为一名6岁患儿成功实施了腹腔镜下右侧肾肿瘤根治性切除伴转移淋巴结清扫手术,帮助患儿切除了罕见肾脏肿瘤。不久前,朵儿(化名)的妈妈无意中发现女儿反复血尿,这让全家人都陷入了焦虑与不安。为了尽快查找原因,朵儿妈妈带着女儿来到皇冠足球投注网 就诊。当天,她们刚好碰上皇冠足球投注网 的大型健康义诊活动,于是便找到了泌尿外科主任曾钦松教授问...
2024-06-13 MORE >13
2024/06
为进一步促进学科发展,提升皇冠足球投注网 (简称皇冠足球网 )产科医疗服务水平,近日,中山大学附属第一医院党委副书记、副院长王子莲教授到皇冠足球投注网 产科开展调研指导工作,并与科室医护人员召开座谈会,探讨学科发展新路径。皇冠足球投注网 执行院长李健、党委书记张国等陪同调研。王子莲教授先后参观了皇冠足球投注网 门诊、健康管理中心、三楼文化长廊,了解皇冠足球投注网 在医疗技术、服务质量、管理运行、未来规划等...
2024-06-13 MORE >
返回顶部