发布时间:2024-06-27来源:心血管内科编辑:浏览: 次
6月13日,皇冠足球投注网
(简称皇冠足球网
)心血管内科团队成功完成全新ROTAPRO™旋磨介入治疗系统上市后在广西的首次应用,为一名复杂高危严重钙化患者进行了精准冠脉介入治疗,顺利开通闭塞的冠脉血管并完成支架植入。
71岁的梁阿姨(化名)去年外院冠脉造影诊断为冠心病,三支血管严重狭窄,于右冠植入一枚支架,前降支严重钙化病变尝试开通失败。近几个月来,她反复出现胸痛症状,严重影响正常生活。得知皇冠足球投注网 来了很多中山一院的派驻专家,为寻求进一步治疗,特地来到皇冠足球投注网 心血管内科就诊。
入院后,心血管内科医生为梁阿姨复查了冠脉造影:冠脉三支血管严重狭窄并钙化,原重度狭窄前降支完全闭塞;右冠远段支架通畅,至前降支闭塞远端的侧枝循环良好。

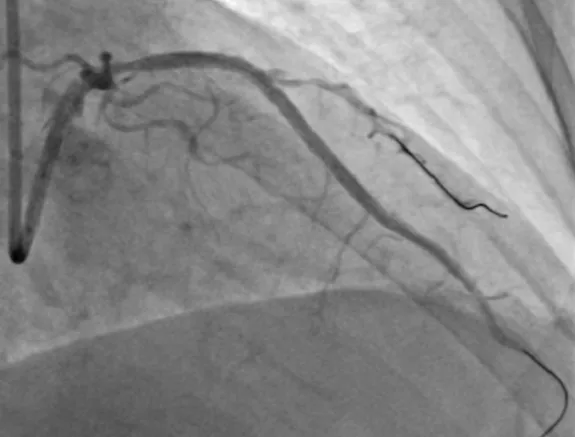
▲左主干近段至前降支近中段钙化明显,中段后100%闭塞
皇冠足球投注网 副院长、心血管内科学科带头人夏文豪教授得知梁阿姨的情况,立即组织心血管内科执行主任袁军、副主任蒙绪宁等专家,充分分析患者病情。专家们一致认为,患者原重度狭窄前降支已变成无残端闭塞,可能与此前尝试开通闭塞血管时导丝引起的夹层相关,考虑原有血管结构已被破坏,正向开通闭塞血管难度大,首选逆向导丝技术开通闭塞血管。此外,患者血管钙化严重,常规器械可能无法打开钙化环,可考虑先开通闭塞血管,再使用全新ROTAPRO™旋磨系统处理钙化病变,最后植入支架的方案。得出结论后,夏文豪安排介入导管中心和重症医学科同时做好应急预案,为患者的手术全程护航。

▲皇冠足球投注网 心血管内科冠脉介入团队的医生在手术中
经过充分的术前评估和准备,皇冠足球投注网 心血管内科冠脉介入团队为梁阿姨顺利开通了前降支闭塞血管,使用ROTAPRO™旋磨系统处理钙化病变,在血管内超声指导下精准植入3枚冠脉支架。
夏文豪介绍,冠脉血管钙化病变是冠心病常见的特征性病理表现之一,因质地坚硬、难以通过常规器械处理,已成为经皮冠状动脉介入治疗(PCI)手术中最大的挑战之一。冠状动脉斑块旋磨术被专家共识推荐为冠心病重度钙化病变的首选,但因手术操作相对复杂、对术者要求较高,一直难以在临床广泛普及。该患者冠脉血管弥漫性钙化、血管条件复杂,行冠脉旋磨术难度大,加上患者之前尝试开通闭塞血管失败导致血管结构改变,手术风险及难度也明显增大,为了保证手术成功,我们术中选用了新一代ROTAPRO™旋磨系统进行冠脉旋磨,帮助患者顺利开通闭塞血管,最后植入支架。
术后患者恢复状况良好,目前已康复出院。

▲新一代ROTAPRO™旋磨系统进行冠脉旋磨

▲旋磨后植入3枚支架,血管腔明显增大,血流通畅
关于冠状动脉钙化
冠状动脉钙化是冠状动脉发生硬化的一种表现。冠状动脉钙化是指钙盐在冠状动脉血管壁的沉积,常发生在动脉粥样硬化斑块的部位,是冠状动脉粥样硬化病变的重要标志。冠状动脉钙化可导致血管僵硬度增加,顺应性降低,心肌灌注受损。
年龄增加,长期吸烟,血脂异常,高血压,肥胖等因素,都是导致冠状动脉发生钙化的危险因素。

当钙化没有引起冠状动脉管腔明显狭窄的时候,一般不会导致严重的后果,此时心脏的血供很丰富。但如果钙化的面积比较大,从而导致了冠状动脉管腔变得狭窄,致使心肌血供不足,很有可能就会导致患者出现心绞痛的症状。此外,如果钙化严重,常规介入器械无法打开钙化环,若不能充分预处理钙化病变,将导致支架膨胀不全、贴壁不良、急性支架内血栓、支架内再狭窄等严重不良预后。
冠状动脉的钙化程度越高,冠心病的发病率就会越高。所以,一定要引起重视,尽早地接受治疗。当发现存在冠状动脉钙化并存在心绞痛症状时,应该及时就诊,由专业的医生来评估冠状动脉情况,并根据严重程度来给出专业指导性的治疗方案。
关于全新ROTAPRO™旋磨介入治疗系统
冠脉内旋磨术诞生于上世纪80年代末,其原理是通过高速旋转磨头的差异性切割将钙化斑块磨成微颗粒,从而有效改善血管顺应性,显著提高复杂冠脉病变的手术成功率。近年来,各类冠脉严重钙化病变处理器械不断涌现,但对比之后,冠脉旋磨术依然经典,该技术仍然是指南推荐用于处理严重钙化病变的首选手段。

▲旋磨头打通病变部位的坚硬钙化斑块
全新一代旋磨系统—ROTAPRO™取得了多重技术突破,其原有高低速切换和启停功能整合在ROTAPRO™一次性使用推进器预装式旋磨导管上,有效优化了操作步骤并降低了操作难度。ROTAPRO™旋磨仪配备了转速智能调节功能、可视化显示液晶显示器,术者能更好地控制磨头的转速和时间。此外,采用了耐用性和抗扭结性全面提升的ROTAWIRE™ Drive 旋磨用导引导丝,进一步提升了该旋磨系统在复杂迂曲病变中的表现,为节省手术时间和费用提供了助力。
心血管内科简介
皇冠足球网 心血管内科是国家区域医疗中心重点建设专科,在副院长、学科带头人夏文豪教授的带领下,各项工作有序开展,目前拥有床位32张(包括抢救床位4张)同时兼管介入导管室。
科室现有医生12名,医学博士3人,其中2人在读,医学硕士9人,主任医师2人,副主任医师2人,技师1名,护士12名,在常见和疑难心脏病的诊治具有丰富的临床经验,治疗范围包括冠心病、主动脉疾病、瓣膜性心脏病、心律失常、先天性心脏病、急性心肌梗死、心源性休克、心衰、心肌病、恶性高血压等,现有冠心病、心律失常、高血压、心力衰竭、结构性心脏病等5个亚专科。
科室擅长各种心血管疾病介入治疗,尤其是主动脉疾病诊疗已具备世界先进的设备和领先的诊断治疗技术,其中重度主动脉瓣狭窄或主动脉瓣关闭不全经皮导管主动脉瓣植入术(TAVR)、主动脉夹层或主动脉瘤腔内隔绝术(EVAR)等高难度手术处于区内领先、国内先进水平,并长期扶持区内多家区市级三甲医院技术开展。
科室常规开展复杂冠心病介入治疗、心律失常射频消融、永久起搏器植入、肾动脉支架植入、肺血管疾病、结构性心脏病、外周血管病治疗,在高血压病、心肌病、急/慢性心衰、心源性休克等疾病的诊断和介入治疗等方面技术成熟,并形成了鲜明的特色和创新。
主要专家介绍
夏文豪

主任医师,医学博士,博士生导师,博士后合作导师,中山大学附属第一医院高血压血管病科主任,皇冠足球投注网 副院长,广东省杰出青年医学人才,中华医学会中青年心血管病学菁英。
科学研究:主持国家自然科学基金(3项)、广州市重点研发计划、广西自然科学基金重点项目、广东省自然科学基金、广东省科技计划等10余项基金;第一作者/通讯作者在Hypertension(4)、STTT、Nano today、Advanced Science、Ebiomedicine、Aging Cell等高水平杂志发表论文30余篇;主要完成人荣获广东省科技进步一等奖、教育部自然科学二等奖、中华医学三等奖。
社会任职:中国医师协会高血压专业委员会青委会副主任委员;中国心血管互联网联盟智能诊疗联盟秘书长;国家标准化高血压中心秘书长;世界中医药学会联合会高血压专业委员会副秘书长;中国研究型医院心血管病学组副组长;广东省医师协会高血压专业委员会副主任委员;广东省中西医结合学会心血管病专业委员副主任委员;广东省中西医结合学会高血压专业委员副主任委员;广东省健康管理学会心身医学专业委员会副主任委员;广东省医学会心血管病专业委员会委员;国家自然科学基金、广东省自然基金评审专家;《中华高血压》、《中华细胞与干细胞》杂志编委。
袁 军

心血管内科执行主任,主任医师、医学硕士,中国医师协会睡眠呼吸分会全国青年委员、广西医学会心脏起搏及电生理学会青年委员。
从事心血管内科诊疗工作10余年,专长心血管疾病诊断及治疗,尤其是心血管危重症病人救治,包括冠心病、高血压病、风湿性心脏病、心肌病、外周血管病的诊断及治疗。曾到新加坡心脏中心学习外周血管疾病的介入治疗技术,擅长主动脉夹层、腹主动脉瘤等外周血管疾病的介入治疗,对冠心病介入治疗积累了一定经验。
甘剑挺

主任医师、心血管科党支部书记。广西医师协会科学普及分会副主任委员、广西医学会心脏起搏与电生理分会委员、广西医师协会胸痛专业委员会委员、《微创医学》杂志编委。在SCI、《中华内分泌代谢杂志》《中华老年医学杂志》《中国循证心血管医学杂志》等期刊发表学术论文40余篇。曾先后到广东省人民医院进修心律失常介入诊疗、主动脉疾病介入诊疗以及到新加坡国家心脏中心学习冠心病介入诊疗。擅长心律失常、主动脉疾病、冠心病介入诊治及高血压、心力衰竭等疾病的诊治。
蒙绪宁

心血管内科副主任,副主任医师。从事冠心病介入诊疗工作10余年,作为第一术 者完成冠心病介入治疗超过5000例,院内率先开展慢性闭塞病变逆向导丝技术及较早开展冠脉钙化病变旋磨术,擅长复杂、高危冠脉病变介入治疗;同时熟悉先天性心脏病封堵术,熟悉房颤左心耳封堵术。2001年毕业于广西医科大学,2007年获得武汉大学医学院硕士学位,2010年参加北京协和医院冠心病介入诊疗培训基地培训,2020年参加广西自治区人民医院先天性心脏病介入诊疗基地培训论著:在国内专业期刊发表论文数篇。
刘 宇

心血管内科副主任医师,医学硕士,毕业于中山大学(原中山医科大学),曾在纽约州立大学以及德国进行学习交流。现任中部复杂冠脉病变介入治疗青年委员会委员、广西医师协会体外循环与生命支持委员会委员、广西预防学会心血管预防与控制委员会常委。
从事心血管疾病科研以及治疗工作近10余年。对各种心血管疾病如冠心病、心脏瓣膜疾病、主动脉,外周血管疾病、高血压病、心力衰竭和心律失常的有较丰富诊治经验。擅长冠心病、心脏瓣膜疾病、主动脉,外周血管疾病介入治疗工作,多次获邀出席国际、国内心血管会议并做相关汇报。(来源:心血管内科)
返回顶部